Früherkennung von Fettleber, Fibrose und Leberzirrhose – schnell, schmerzfrei und ohne Eingriff
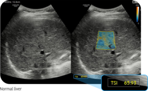
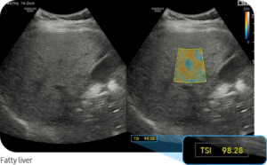
Die moderne Ultraschall-Elastographie ermöglicht eine präzise und nicht-invasive Beurteilung der Lebergesundheit. Dabei können sowohl der Grad einer Verfettung (Steatose) als auch strukturelle Veränderungen wie eine Fibrose oder beginnende Zirrhose frühzeitig erkannt werden.

Chronische Lebererkrankungen – insbesondere im Rahmen von Diabetes, Übergewicht oder metabolischen Störungen – verlaufen häufig lange unbemerkt. Eine frühzeitige Diagnostik ist daher entscheidend, um Folgeschäden zu vermeiden und gezielt therapeutisch einzugreifen.

Was wird gemessen?
Die Elastographie bestimmt die Steifigkeit des Lebergewebes:
Gesundes Gewebe ist weich und elastisch
Vernarbtes Gewebe ist fester und weniger elastisch
Je höher die gemessene Gewebesteifigkeit, desto wahrscheinlicher ist eine fortgeschrittene Lebererkrankung. Die Messwerte werden in Kilopascal (kPa) angegeben und erlauben eine Einschätzung des Fibrosegrades.
Ablauf der Untersuchung
Die Untersuchung kann problemlos wiederholt werden und eignet sich daher ideal zur Verlaufskontrolle.
Wann ist die Untersuchung sinnvoll?
Eine Leberdiagnostik mittels Elastographie ist insbesondere sinnvoll bei:
Ihre Vorteile
Die moderne Elastographie ist ein wichtiger Bestandteil der präventiven und internistischen Medizin und ermöglicht eine individuelle, risikoorientierte Betreuung.
Kostenhinweis
Die Untersuchung stellt in der Regel keine Leistung der gesetzlichen Krankenversicherung dar und wird als individuelle Gesundheitsleistung (Selbstzahlerleistung) angeboten.
Die Abrechnung erfolgt nach der Gebührenordnung für Ärzte (GOÄ).
Über die entstehenden Kosten informieren wir Sie selbstverständlich vor der Untersuchung transparent.
Terminvereinbarung
Die Untersuchung kann unkompliziert in unserer Praxis durchgeführt werden.
Gerne beraten wir Sie individuell, ob eine entsprechende Diagnostik in Ihrem Fall sinnvoll ist.
Facharzt für Innere Medizin, Zusatzbezeichnung Diabetologie und Ernährungsmedizin
Hypertensiologe (DHL®️), Adiposiologe (DAG/DDG)
Ambulante Schlafdiagnostik.
Im besonderen Fokus meiner Praxis liegt die Behandlung von Übergewicht und der Folgekomplikationen wie Bluthochdruck Diabetes mellitus Typ 2 und Schlafstörungen.
Ich bin Mitglied im Berufsverband der Ernährungsmediziner (DGEM) als auch Diabetologen (DDG). Weiterhin bin ich aktives Mitglied der Deutschen Hochdruckliga.
Internistische Hausarztpraxis
Stentzler Straße 100
04158 Leipzig
Telefon: 0341 5210871
E-Mail: info@internist-wenzel.de
Montag
07:00 – 12:00
12:30 – 15:00
Dienstag
07:00 – 12:00
13:00 – 18:00
Mittwoch
07:00 – 12:00
12:30 – 15:00
Donnerstag
09:00 – 14:00
Privatsprechstunde
Rettungsdienst: 112
Kassenärztlicher Notfalldienst: 116117 (wochentags von 19.00 – 7.00 Uhr und ganztägig an den Wochenenden und Feiertags)
wird mit Stolz präsentiert von WordPress